Ljubav majke i deteta snimljena na način koji nikada niste videli

Ovaj snimak nastao je iz čiste radoznalosti, objasinila je ona u tekstu za magazin Smitsonijan.

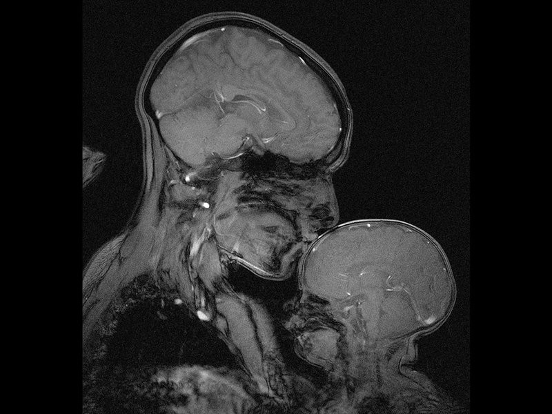
Gledate u prvi snimak majke i deteta ikada napravljen magnetnom rezonancom. Napravila ga je neuronaučnica Rebeka Sejks, a snimak prikazuje upravo nju i njenog dvomesečnog sina Persija.

Sejks radi na Odeljenju za mozak i kognitivne nauke pri Em-Aj-Tiju, kao profesorka kogitivne neuronauke Bavi se proučavanjem teorije uma, tj. načina na koji ljudi misle o mislima drugih.

- Advertisement -

Ovaj snimak nastao je iz čiste radoznalosti, objasinila je ona u tekstu za magazin Smitsonijan.

spot_img

Najnovije

Kako odgajiti odraslog: Veštine kojima svaki mladi čovek treba da ovlada

Džuli Litkot Heims, autorka bestselera Njujork tajmsa "Kako odgajiti odraslog", dugogodišnja dekanka Stanforda, odgovara na pitanje koje veštine svaki osamnaestogodišnjak treba da ima

Prvi maj – Praznik rada i simbol borbe za radnička prava

Prvi maj, poznat širom sveta kao Međunarodni praznik rada, ima duboke korene u borbi radnika za osnovna prava i dostojanstvene uslove rada.

Prva nedelja maja u školama u Srbiji – BEZ kontrolnih, pismenih i ispitivanja. ”Pokušaj da se prosveta vrati vaspitnoj ulozi stavljajući DETE ispred puke...

Pravilnici o kalendarima obrazovno-vaspitnog rada osnovnih i srednjih škola za školsku 2025/2026. godinu, nedelja od 4. do 8. maja 2026. godine, obeležava se kao Nedelja sećanja i zajedništva

Iskra Ilić predstavlja Srbiju u međunarodnom svemirskom projektu

Tokom više od godinu dana, Iskra je, zajedno sa više od 100 devojaka iz Srbije, učestvovala u zahtevnom obrazovnom programu koji je obuhvatao preko 20 oblasti matematike, fizike i programiranja, sa posebnim fokusom na inženjerstvo i razvoj satelita.

Najvažnije veštine koje dete nauči samo u vrtiću (i zašto su važnije nego što mislimo)

Roditelji često brinu: da li je dete spremno za vrtić, da li će se uklopiti, da li će mu nedostajati dom. A istina je – vrtić nije samo prilagođavanje. To je mesto gde dete raste na način koji je teško postići bilo gde drugde.

Pratite nas

KOMENTARI

LEAVE A REPLY

Please enter your comment!
Please enter your name here

SLIČNI ČLANCI KOJI VAS MOGU ZANIMATI:

spot_img